What did I think?
Well, pain on the inside of his knee. For a long time. With this pattern of osteoarthritis, usually means..
=> Partial knee replacement.
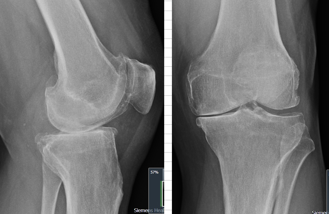
The image on the right is an AP (Antero-Posterior) view..
It looks at the knee from the front.
And on the outside of the knee..
The right hand side in that pic
There's good joint space.
Gap between tibia + femur
On the inside of the knee
The left hand side in that pic
The joint space has completely gone.
So called bone-on-bone osteoarthritis.
The Finer detail
The image on the left is the lateral view
It looks at the knee from the side. And it shows:
The patellofemoral joint does not look too bad.
Under the kneecap is okay.
And the main point of cartilage loss is in the middle of the tibia (medial tibial plateau). In the middle of the knee.
Or more importantly..
The cartilage at the back of the knee (on the inside) is..
=> Intact
That means the ACL (Anterior Cruciate Ligament) is likely intact.
That's the ligament that provides front to back stability.
And the knee is suitable for a partial knee replacement.
So that's what I was expecting..